Latarjet Procedure
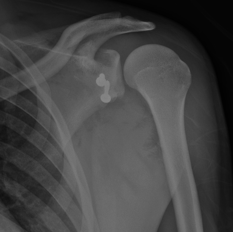
The Latarjet procedure is a surgical technique used to treat recurrent anterior shoulder instability, particularly in patients with significant bone loss of the glenoid or repeated dislocations.
Dr Edoardo Giovannetti De Sanctis, based in Nice, provides international patients along the French Riviera with precise surgical care and a tailored rehabilitation plan to restore stability, strength, and function.
The operation involves transferring a small piece of bone, along with its attached tendon, from the coracoid process to the front of the glenoid.
This bone graft increases the size of the socket, while the tendon provides a dynamic sling effect that stabilises the shoulder during movement. Together, these mechanisms significantly reduce the risk of future dislocations.
The Latarjet procedure is especially effective for active patients, athletes, and individuals who have not responded to previous stabilising surgeries, offering strong, reliable, and long-term joint stability.