Pathologies

Clavicular Fracture

Acromio-Clavicular Dislocation

Eccentric Arthritis

Glenohumeral Dislocation

Concentric Arthritis

Proximal Humerus Fracture

Rotator Cuff Tear

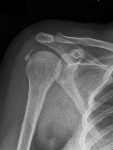
Calcific Tendinopathy